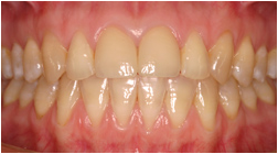
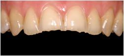
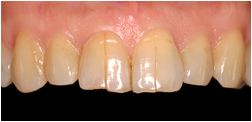
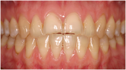
Porcelain Veneers to Repair Worn & Damaged Front Teeth

 

 

 

 

 

 

 

  

 

 

 

 

 

 

                                 Before                                                          After

 

 

 

 

 

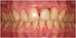
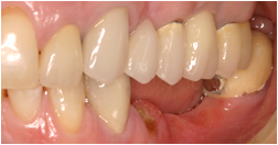
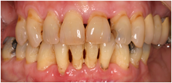
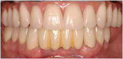
Implants, Crowns and Bridges (Full Mouth Rehabilitation)

to Treat Periodontal Disease & Damaged Teeth

 

 

 

 

 

 

 

  

 

 

 

 

 

 

                                 Before                                                            After

 

 

 

 

 

©2017  Cohen Cosmetic Dentistry

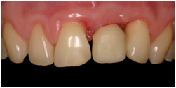
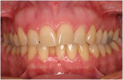
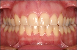
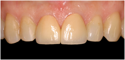
Porcelain Crowns to Repair Cracked Front Teeth

 

 

 

 

 

 

 

                                 Before                                                          After

 

 

 

 

 

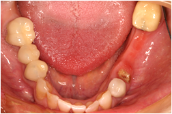
Implants and Crowns to Replace Missing Teeth

 

 

 

 

 

 

  

 

 

 

 

 

 

 

 

 

 

 

 

 

                                 Before                                                            After

 

 

 

 

 

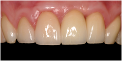
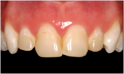
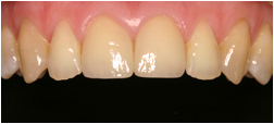
Porcelain Veneers to Replace Stained Bonding

 

 

 

 

 

 

 

 

 

                                 Before                                                          After

 

 

 

 

 

Invisalign® Clear Retainers to Straighten Teeth

 

 

 

 

 

 

 

 

 

                                Before                                                          After

 

 

 

 

 

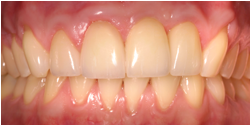
Implants, Crowns and Veneers to Restore Missing and Damaged Teeth

 

 

 

 

 

 

  

 

 

 

 

 

 

 

                                 Before                                                          After

 

 

 

 

 

Implant Reconstruction Following Jaw Resection After Cancer

 

 

 

 

 

 

 

 

 

                                 Before                                                          After

 

 

 

 

 

Dr. Neil Cohen

 

OFFICE GRAND OPENING:

SUMMER 2017

700 2nd Avenue N, Suite 303

Naples, FL  34102

(Tel) 239-351-2000
(Fax) 239-351-1880

 

 

Dr. Jessica  Cohen